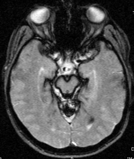
Paciente de 45 anos com ataxia progressiva de lenta instalação, liberação
piramidal global e perda auditiva bilateral. Histórico de 02
cirurgias cervicais anteriores por hérnia de disco.



Carregando ...
Veja a Resposta Aqui
A siderose superficial (SS) é causada por sangramento subaracnóideo crônico, sendo caracterizada pela deposição de ferro livre e hemosiderina nas estruturas piais e subpiais do sistema nervoso. A SS causa uma lesão progressiva e irreversível do sistema nervoso. As causas mais comuns de hemorragia subaracnóidea crônica são tumores, trauma de crânio e da coluna cervical, malformações arteriovenosas e aneurismas. A SS clinicamente é caracterizada pela tríade de surdez neurossensorial, ataxia cerebelar e presença de sinais piramidais. A RM de crânio e coluna cervical é o exame de escolha para se investigar e diagnosticar esta entidade clinica e os achados típicos são hipointensidades na sequencia T2 vistas ao redor do cérebro, cerebelo, tronco cerebral, medula e oitavo nervo craniano e algumas vezes também com a presença atrofia do cerebelo e medula. Não existe um tratamento de consenso para esta alteração.